+420 723 664 400

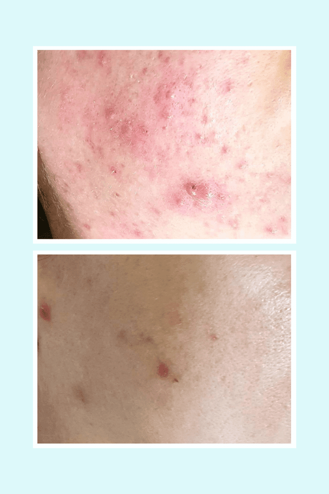
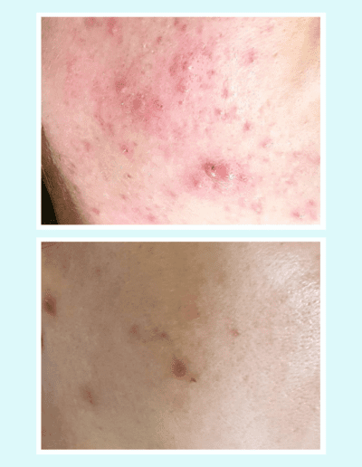
Fotogalerie

KOSMETICKÝ SALÓN

KOSMETICKÉ SLUŽBY